Cabinet dentaire à Saint-Genis-Laval
108 Av. Georges Clemenceau, Les Récollets, 69230 Saint-Genis-Laval
04 78 56 29 31

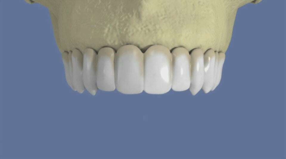
Maxillaire : bridge vissé sans fausse gencive


video-play-icon

Articles similaires

Création par Webdentiste

Connexion